什么是大肠癌?

大肠癌又称结直肠癌(colorectal cancer,CRC)是结肠癌及直肠癌的总称,是我国常见的恶性肿瘤之一。根据2019年国家癌症中心发布的《中国恶性肿瘤流行情况分析报告》显示:我国结直肠癌发病率、死亡率在全部恶性肿瘤中分别位居第3及第5位,新发38.8万例,死亡18.7万例。
近年来我国结直肠癌发病率逐年上升,且出现年轻化趋势,尤其60岁以后大肠癌的发病率及死亡率均显著增高,男性略高于女性。行结肠癌根治性切除术后5年生存率一般为60%~80%,直肠癌为50%~70%,我国直肠癌比结肠癌发病率略高。
结直肠癌有哪些表现呢?怎么预防治疗?黔西南州人民医院科普专家:胃肠腹壁疝外科主任、主任医师刘明泽来给大家普及一下相关知识。
结直肠癌有哪些表现呢?
(1)排便习惯改变。常为首先出现的症状,多表现为大便次数增多、粪便不成形或稀便;当病情发展出现部分梗阻时,可出现腹泻和便秘交替的现象。
(2)大便性状改变(变细、血便、黏液便等),血便情况很多人认为是痔疮,没有进一步检查,按照痔疮治疗耽误了最佳治疗时间。
(3)腹部出现定位不准的隐痛或腹部不适。

(4)腹部肿块。肿块质硬,形状不规则,表面呈结节状。早期有一定的活动度,但肿瘤穿透肠壁伴有继发感染时可表现为固定压痛的肿块。
(5)肠梗阻相关症状。一般出现较晚,早期出现腹部不适、隐痛和排气不畅的感觉,晚期逐渐出现腹胀,排便困难等肠梗阻症状。

(6)全身症状:如贫血、消瘦、乏力、低热等。

结直肠癌检查有哪些?
1、影像学检查:如X线胃肠道钡餐造影、CT检查、MRI检查、经直肠超声检查。腹部X线检查适用于伴发急性肠梗阻病人,可见梗阻部位上方的结肠有充气胀大现象。直肠癌术前行直肠MRI为常规检查项目,是术前分期的重要依据。

钡灌肠影像
结肠癌CT

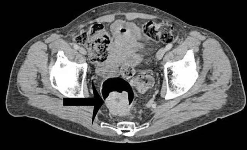
直肠癌CT
肠癌肝转移CT
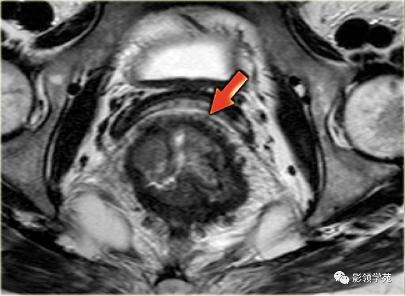
直肠癌磁共振影像

直肠癌磁共振影像

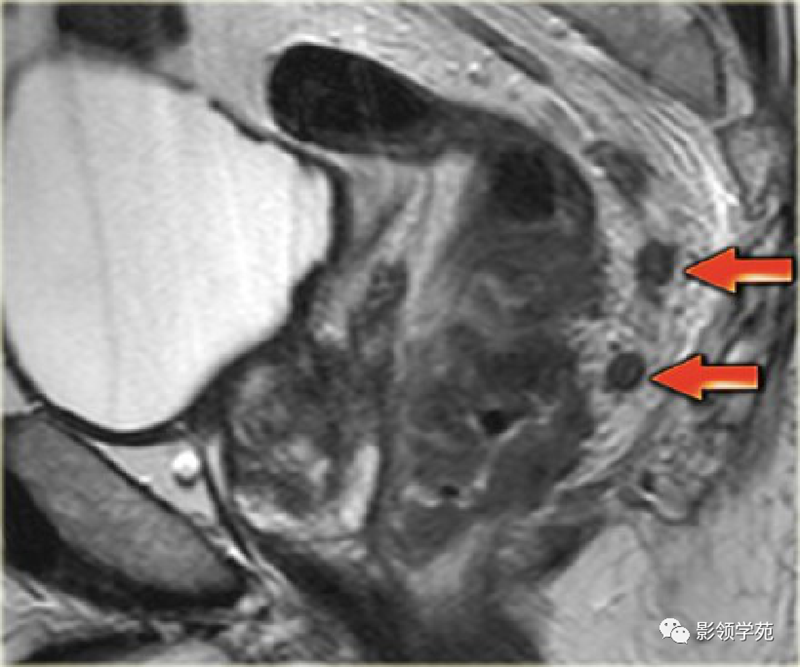
直肠癌淋巴结转移磁共振影像

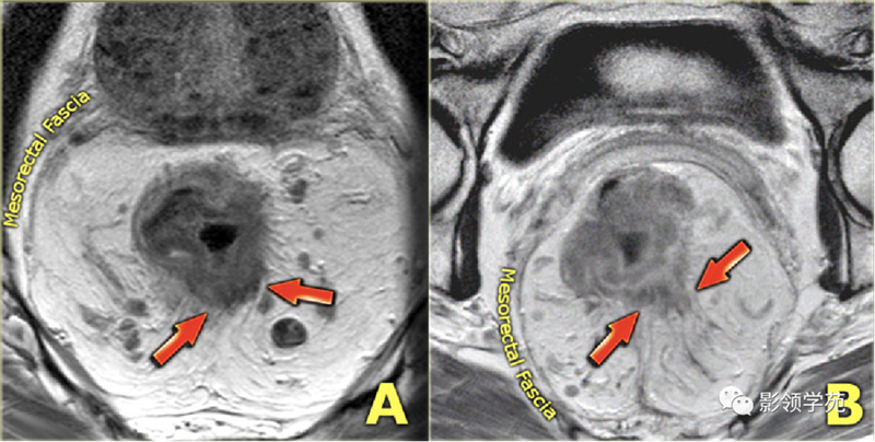
直肠癌磁共振影像
2、结直肠镜检:检查前需要口服泻药或灌肠帮助排空肠道中的粪便,作为检查的重要手段,对于部分息肉可以进行治疗,取病理组织活检是诊断结、直肠癌的金标准。但是,我国人口多,检查设备和专业医务人员少,很难全面普查。



肠镜下直肠肿瘤

肠癌隆起型

直肠癌浸润型

肠癌溃疡型

3、血清肿瘤标志物检查:是诊断肿瘤的辅助实验室检查,对推测预后和判断复发有一定帮助。
4、实验室检查:血常规、肝肾功能、电解质及血糖、凝血功能等指标,一般需在正常范围内。
5、直肠指检:检查有无直肠息肉、直肠癌、内痔或其他病变,直肠指检是诊断直肠癌最简单、最重要的手段,直肠指检可以明确有无肿物,肿物的部位、大小、形态,有无狭窄,与其他脏器有无浸润粘连及活动度,下缘距离肛缘的距离等。
6、粪便隐血试验:是直肠癌筛查的重要手段,但是有一定的假阳性率和假阴性率,需要进一步完善检查,明确诊断。
结直肠癌治疗方法
结直肠癌的治疗方法以根治性手术治疗为主,辅以化疗、放疗、免疫治疗等综合治疗的模式。


腹腔镜下直肠癌手术


腹腔镜下直肠癌手术
腹腔镜术中所见肠道肿瘤

手术前是否需要新辅助治疗、术后是否需要放化疗根据分期决定。病理标本检查常规行免疫组化,指导治疗。

结直肠癌术后该如何定期复查?
1.病史和体检,每3~6个月1次,共2年,然后每6个月1次,总共5年,5年后每年1次。
2.监测CEA、CA19-9,每3~6个月1次,共2年,然后每6个月1次,总共5年,5年后每年1次。
3.腹/盆超声,胸片每3~6个月1次,共2年,然后每6个月1次,总共5年,5年后每年1次。
4.腹/盆CT或MRI每年1次。
5.术后1年内行肠镜检查,如有异常,1年内复查;如未见息肉,3年内复查;然后5年1次,随诊检查出现的大肠腺瘤均推荐切除。

患了结直肠癌怎么办?
患了结直肠癌并不可怕,因为现在的检查技术和医疗水平可以大大提高肿瘤的切除率和治愈率。对于不幸患上结直肠癌的人来说,拥有良好的心态,才是恢复健康的基础。早期发现、积极治疗、积极配合医护人员、加强营养、乐观地工作和生活,才有可能战胜疾病。重要的是要学会自我调节情绪、修身养性、改变不良的作息习惯,可以将注意力集中在自己感兴趣的事情上,比如看书、听音乐、写字、画画、种花、养鱼等,以此来转移注意力。家属则要营造一个好的生活环境,以利于患者术后康复,康复期要静心修养,不要过度操劳。可以进行散步、慢跑、打太极等体育活动,活动要量力而行,以不感疲劳为度,切忌活动过度造成体力下降。调节情绪时,要心平气和,不要操之过急。克服沮丧心理,面对疾病现实,鼓足勇气,树立信心,争取最佳的疗效和最好的康复结果。
如何预防结肠癌复发?
除按医生的要求规范治疗、定期复查外,应多吃新鲜蔬菜、水果等高纤维、高维生素饮食,减少食物中的脂肪摄入量。忌食辣椒、咖啡等刺激性食物,戒烟、酒、保持每天排便的良好习惯。便秘者清晨起来可服用温开水,有利于清理肠道、促进肠蠕动、缓解便秘。参加适量体育锻炼,生活规律,保持心情舒畅,避免自我封闭,尽可能融入正常的生活、工作和社交活动中。积极治疗结肠相关疾病,如结、直肠息肉,溃疡性结肠炎,克罗恩病,血吸虫病等。
结直肠癌筛查
在2018年发表的《中国结直肠癌肿瘤早诊筛查策略专家共识》中,建议将40~74岁的一般人群作为结直肠肿瘤的早诊筛查人群。
1.肠镜检查:息肉-腺瘤‐不典型增生‐癌的演变过程大概要经过10~15年,肠镜检查无疑是结直肠癌早筛、早诊的金标准,通过肠镜可以观察到肠壁黏膜的结构改变,并可直接镜下钳取组织进行病理确诊。但是,肠镜检查是一种侵入性检查,不能覆盖所有人群,有一定并发症。

2.近年来非侵入性的结直肠癌诊断方法发展迅速,主要通过检测粪便或血液标本中生物标志物,为结直肠癌的无创筛查方法。粪便隐血试验、粪便核酸检测( 粪便 DNA检测(Stool DNA Test,sDNA);粪便微小 RNA 检测(Fecal miRNA Test))、肿瘤标志物(临床常用关于CRC的肿瘤标志物包括糖类抗原家族(carbohydrate antigens,CAs),主 要 有CA19‐9、CA50、 CA72‐4、癌胚抗原(carcinoembryonic antigen,CEA)等。)、血液Septin9基因甲基化检测。
粪便 DNA检测目前我院主要通过粪便基因(SDC2)检测,无需肠道准备,只需要受检者用粪便采集装置留取4.5g粪便标本送检,即可完成检查。检测敏感性高,特异性高,可以检测进展期腺瘤和肠癌病灶,推荐的筛查周期为每1-3年1次。其优势在于精准∶全肠道检测,无检测盲区。早诊∶提前发现癌前病变和早期肠癌。无创∶无需肠道准备,仅需4.5克粪便。方便∶可居家采样,常温保存3天。
对40岁以上人群,患有结、直肠息肉,溃疡性结肠炎,克罗恩病,血吸虫病等建议常规行粪便隐血试验和粪便基因(SDC2)检测后再行肠镜检查,普通人群45岁以后每5年行一次肠镜检查,这样可以早发现、早治疗。





科普专家

刘明泽 普外科主任医师,胃肠腹壁疝外科主任,黔西南州第三届百优医师,贵州省普通外科医疗质量控制中心专家组委员,全国卫生产业企业管理协会疝和腹壁外科产业及临床研究分会理事,全国卫生产业企业管理协会疝和腹壁外科产业及临床研究分会第八学术委员会副主任委员,贵州省黔西南州医学会普外科分会第一届专委会副主任委员,中华结直肠癌MDT联盟贵州分盟常委、黔西南州分会副主任委员,贵州省中西医结合学会会员,膜解剖复制贵州胃癌协作组成员,黔西南州医疗保障管理专家库专家,黔西南州医疗事故鉴定专家库专家。1999年毕业于遵义医学院临床专业,2004年在昆明延安医院进修,近年来多次到四川大学华西医院、陆军军医大学西南医院、上海第十人民医院、贵州省人民医院、贵州医科大学附属医院、遵义医科大学附属医院进行胃肠、腹壁疝专科培训。在省级期刊发表学术论文10余篇,主持州级科研项目1项,参与州级科研课题5项。擅长胃肠、腹壁疝、肝胆、胰、脾、甲状腺、乳腺等普通外科疾病诊治,特别是腹壁疝和胃、结直肠肿瘤微创治疗,2019年成功开展黔西南州首例腹腔镜直肠癌经自然腔道取标本手术(NOSES)。
Copyright 黔西南布依族苗族自治州人民医院 All Rights Reserved.
黔ICP备17001746号贵公网安备 52230102000043号