
“精治骨伤痛,共结续骨情”--作为每一名黔西南州人民医院创伤骨科医护人员的座右铭,时刻提醒着大家在治病救人之外,更应该做到想病人之所想,急病人之所急,让彼此因病结缘、因病结谊;长此影响之下,每一位创骨人都以治愈骨伤痛的同时做到以朋友间关怀为目标,因此得到老百姓的高度认可。
优良的“传帮带”传统
黔西南州人民医院创伤骨科,前身是医院骨科(贵州省重点专科)骨一病区,数代骨科人的不懈努力让骨科的医疗水平实现了质的飞跃,优良的“传帮带”传统,培养了一大批优秀的年轻医生。

目前创伤骨科已形成人才济济的强大团队,拥有主任医师2名,副主任医师4名,并拥有服务一流、技术精湛的星级护理队伍。经过数十载的发展,科室团队不断开拓创新,综合实力显著提升,涵盖创伤矫形、小儿骨科、骨肿瘤、骨盆髋臼骨折等亚专业治疗组,分别由曾勇主任医师、张全副主任医师、刘锋副主任医师、曾刚副主任医师担任专业组组长,在四位组长的带领下,创伤骨科在各个专业领域迅猛发展,形成今天在州内领先的局面。“十四五”开局之年,在医院开启高质量发展新征程之际,科室以党建工作引领学科建设,在新的格局与组织模式下,创伤骨科必将迎来新的发展。

技术精湛“医、护”齐头并进

近几年来,创伤骨科曾有多名医护人员先后分别到华西医院、河北省儿童医院、中国医科大学附属盛京医院、上海第六人民医院、浙江第三人民医院等进修学习,并与国内、省内著名医院建立了长期业务合作关系,学成返回后带来了国内先进的诊疗理念与方案,补齐了诊疗相关方面的短板,为黔西南州广大骨伤患者做到病不出州就能享受到国内领先的诊疗资源,获得了患者的一致好评。
病例展示:

一位十七岁花季少女,因为足踝畸形长期卧床,患者曾先后到广州、昆明、贵阳等地众多知名医院就诊,给出的治疗方案均为截肢手术。家属抱着试试看的态度,到我院骨科门诊就诊,因病例特殊,科室医师经多次讨论,夜以继日设计治疗方案,在与病人及家属三方的共同努力下,通过三次矫形手术,让她终于站了起来,开始享受正常人的生活,不仅找到了工作,现在已经结婚生子,不久前还专程到科室向创伤骨科医护人员表达了谢意,看着她脸上洋溢的幸福,所有的医护人员在为她祝福的同时,也深感了“精治骨伤痛,共结续骨情”的精髓。

创伤骨科诊疗范围:
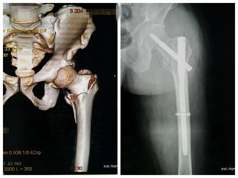
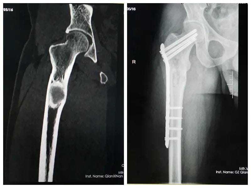
创伤:四肢骨折AO内固定技术及外固定支架固定技术,长骨骨折的微创髓内固定技术,骨盆、髋臼复杂骨折内固定。


小儿骨科:先天性髋关节发育不良的截骨矫形、先天性马蹄内翻足“潘塞缇序列石膏”疗法,关节镜下先天性斜颈的微创治疗,小儿骨折微创治疗及各种畸形矫正手术。


矫形、骨髓炎、骨肿瘤:Ilizarov肢体牵拉再生技术,骨延长、肢体延长,各类骨与软组织良恶肿瘤切除术,特别是经典骨巨细胞肿瘤刮除植骨骨水泥填充内固定术、四肢恶性骨肿瘤保肢术+新辅助化疗方案等标准化治疗等。

学科带头人

曾勇,主任医师,从事骨外科工作21年,具有丰富的临床经验,在国家级、省级医学期刊上发表医学论文5篇,主持科研1项,新技术新项目9项,现任中国康复辅助器具协会肢体功能重建与外固定委员会委员,贵州省老年学学会骨质疏松委员会委员,擅长骨科常见病、疑难病及骨科急危重症的诊治,在创伤骨科及矫形骨科疾病诊疗方面有较高造诣。

Copyright 黔西南布依族苗族自治州人民医院 All Rights Reserved.
黔ICP备17001746号贵公网安备 52230102000043号